28 Februari 2023
White Spots pada Gigi Anak, Bisa Hilang Nggak, ya?
Ditulis oleh

Annasya
Topik: Gigi, Karies Gigi, Kesehatan Gigi, White Spot
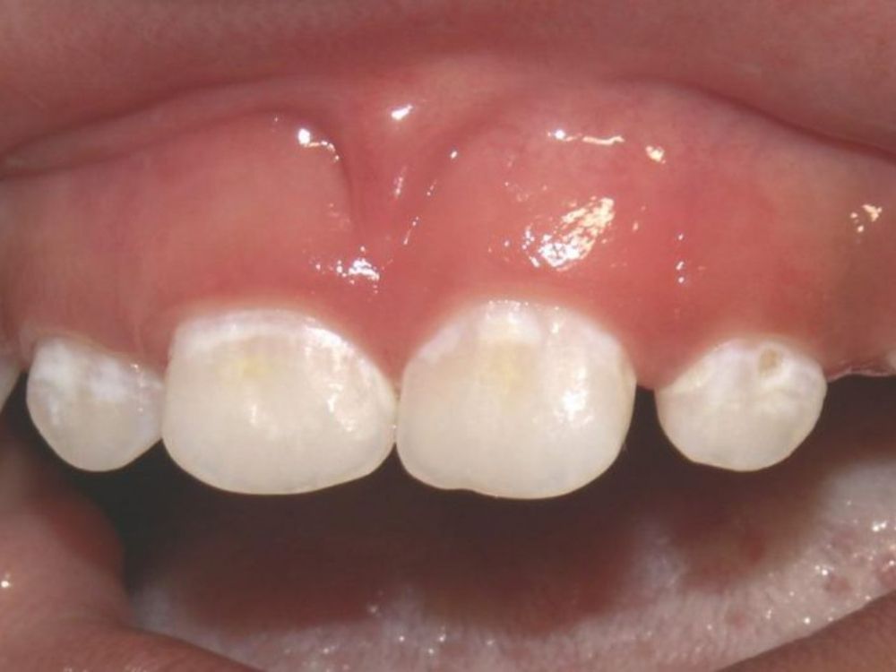
Selain karies dan gigi berlubang, permasalahan gigi yang kerap terjadi pada anak adalah white spot atau bercak putih. MomDad mungkin bertanya-tanya, sebenarnya apa sih yang menyebabkan white spot pada gigi? Padahal si Kecil sudah rajin sikat gigi. Lantas, apa penyebabnya?
Apa itu white spot & apa penyebabnya?
White spot adalah bercak putih yang dapat terlihat pada gigi seorang anak. Ada berbagai macam hal yang dapat menyebabkan white spot, yaitu:
- Makanan. Konsumsi makanan yang bersifat asam seperti soda, jenis buah seperti lemon, jeruk, dan grapefruit dapat mengerosi email gigi dan menyebabkan kerusakan lapisan pelindung gigi. Diet yang tinggi gula juga dapat menimbulkan plak bersifat asam. Selain itu, refluks asam pada penyakit refluks gastroesofageal juga dapat mencapai gigi dan menimbulkan kerusakan email jika tidak diatasi. Seiring dengan kerusakan ini, biasanya gigi akan menjadi sensitif terhadap suhu panas atau dingin [2].
- Fluorosis. Fluoride memang berfungsi untuk memperkuat email gigi dan membantu demineralisasi email, namun jika jumlahnya berlebihan maka dapat mengakibatkan kerusakan dan perubahan warna. Umumnya, hal ini terjadi apabila seorang anak mengonsumsi terlalu banyak fluoride pada masa pertumbuhan gigi atau sering menelan pasta gigi. Bukan hanya itu, fluorosis juga dapat menimbulkan celah di email sehingga pembersihan gigi akan menjadi semakin sulit [1] [2].
- Enamel hypoplasia. Pada kondisi ini, email yang terbentuk tidak sempurna dan dapat disebabkan karena defisiensi nutrisi yang menyebabkan kekurangan mineral di gigi, misalnya pada gangguan penyerapan yang terjadi pada pasien celiac disease. Beberapa kondisi lain yang mungkin berkaitan misalnya merokok saat masa kehamilan [2] [4].
- Akumulasi plak. Hal ini disebabkan oleh kebersihan mulut yang buruk, misalnya jarang menyikat dan membersihkan sela gigi (flossing) dan bisa juga karena efek samping dari penggunaan kawat gigi. Karena hal tersebut, gigi pun akan menjadi kasar dan bergerigi (chipped) [1] [2].
- Tidur dengan mulut terbuka. Email gigi akan terpapar udara semalaman dan mengalami “dehidrasi” sehingga dapat timbul bercak putih. Namun, bercak ini dapat menghilang kembali ketika gigi kembali bersentuhan dengan ludah karena terjadinya rehidrasi email [2].
Apakah white spot bisa hilang?
Bergantung pada penyebabnya, beberapa jenis white spot memerlukan tindakan oleh dokter gigi untuk menentukan penyebab dan mengatasi penyebab white spot. Kemudian, dokter gigi dapat melakukan tindakan yang diperlukan seperti mikroabrasi, bleaching, veneer, atau justru penggunaan chin strap agar mulut tidak terbuka saat tidur [2] [3].
Ada beberapa cara yang bisa dilakukan untuk mencegah white spot, yaitu menjaga kebersihan gigi dan rongga mulut dengan menyikat gigi 2 kali sehari menggunakan pasta gigi berfluoride dengan jumlah sesuai anjuran, lakukan regular flossing untuk membersihkan sela gigi, ajari anak untuk meludahkan pasta gigi dan jangan ditelan, kurangi konsumsi makanan dan minuman manis seperti minuman bersoda, jus buah, serta soft drinks, dan jangan merokok saat sedang hamil [2] [3].
White spot yang berkaitan dengan karies gigi biasanya akan timbul di area gigi dekat batas gusi [4], namun bisa juga ditemukan dimanapun pada permukaan email gigi.
Itulah penjelasan mengenai white spots pada gigi anak. Jadi, agar white spot tidak timbul pada gigi anak, pastikan untuk selalu mengingatkan dan mengajak anak untuk menyikat gigi secara rutin dan jangan terlalu banyak mengonsumsi minuman dan makanan manis, ya. Semoga bermanfaat!
Jika MomDad punya pertanyaan seputar kondisi si Kecil, jangan ragu untuk segera konsultasi di Forum Tanya Dokter. Pertanyaan MomDad akan dijawab langsung oleh ahli, lho!
Sumber foto: Freepik
Referensi:
- https://www.fortworthchildrensdentistry.com/blog/white-spots-childs-teeth/#:~:text=White%20spots%20can%20be%20from,yellow%2C%20or%20brown%20in%20color.
- https://www.healthline.com/health/dental-and-oral-health/white-spots-on-teeth
- https://www.medicalnewstoday.com/articles/322112#outlook
- https://sandiegochildrensdentist.com/causes-white-spots-childs-teeth/#:~:text=Tooth%20Decay%20In%20children%2C%20tooth,brown%20as%20the%20decay%20advances.



